What we do

Clay Oaks Veterinary Mobile Service offers:

  • Preventative medicine: vaccines, monthly flea and heartworm prevention prescription refills, health certificates, behavioral consultations. Preventative needs for large animals

  • Mobile Diagnostics: Complete Bloodwork, Cytology, Ultrasound, and X-ray at your front door!

  • Surgical procedures: spay, neuter, dental cleaning and extractions, wound repair, and other small animal surgeries (performed at a surgical facility)

  • Canine and Feline Reproductive Services

    • Progesterone testing- results in less than 10 minutes

    • Artificial insemination

    • Routine and Emergency Cesarean Sections

  • In home euthanasia, offering cremation services.

  • Dospice and Catspice care ( In home hospice for dogs and cats)

…all in the comfort of your pet’s own home

More details of the services offered is listed below

Physical Exams and Preventative Medicine

Physical Exams and Preventative Medicine

At every visit, your pets will receive a comprehensive physical exam, appropriate tests, and all indicated medications. The onset and progression of disease can be subtle. A physical exam enables early detection. We will discuss your issues or concerns and offer recommendations.

The focus of our practice is preventive medicine.  Many diseases and conditions can be easily and cost effectively prevented through diagnostic screenings and species appropriate foods. Recommendations are based on individual age and lifestyle.

 

Preventative measures include:

  • Wellness exams

  • Tri-annual vaccines & vaccine titers

  • Heartworm testing (Annual)

  • Parasite checks (Annual fecal exams)

  • Bloodwork screening tests

  • Progesterone Results in 10 minutes

  • Vitamin D tests

  • OFA Hip Radiographs

Dr. Borth will also consult with you in the following areas to help ensure your pet maintain a high quality of life:

  • Exercise & Nutrition

  • Parasite Prevention

  • Dental Health

  • Weight Management

 

Cancer Testing

When a suspicious mass is identified, or the dog and cat presents with other indicators common with cancer, TKcanine cancer panel and TKfeline cancer panel are used to detect the presence of neoplastic disease. For more information, please visit this website: vdilab.com/page.php?id=60

 

Smudgey’s poor leg

Smudgey’s poor leg

We amputated this limb shortly after this traumatic incident due to the severity of the infection of the limb- he is doing great on 3 legs :)

Diagnostic screenings

Because our animal companions cannot tell us when they are sick, diagnostic tests and screening are needed. For older animals, it is beneficial to have an annual blood screening to provide early detection of diseases such as diabetes, thyroid diseases, kidney disease, and liver disease. Samples for blood panels, fecal exams, urinalysis, biopsies, bacterial cultures can be obtained in the stress-free environment of your home. In the case of sick patients Clay Oaks Veterinary has full capabilities to perform Blood test, Microscopic evaluations, and X-rays immediate.

 

Sick-pet exams

Many conditions, such as: vomiting, diarrhea, inappetence, lethargy, increased urination, excessive thirst, coughing, and weight loss can be managed with at-home veterinary care. The sooner these problems are assessed, the better the chance of successful treatment and recovery. Bloodwork, X-Rays, and Ultrasound can be performed immediately in the comfort of your own home. Patients who need hospitalization will be referred to a local veterinary hospital for further care and diagnostics.

 

Nutritional Counseling

Nutrition is one of the most important factors in improving and maintaining our pets' health. We use diet, vitamin and mineral supplementation for health and weight management. We recommend various feeding strategies and diets (commercial and homemade) to support the immune system and enhance the healing process. For older or sick animals, a good diet that provides abundance of easily absorbable nutrients is crucial.

 

Fresh and healthy diets can:

  • Support the function of immune system

  • Enhance regeneration of cells

  • Promotes natural self-healing ability of the body

  • Improves enzymatic activity

 

Pet Behavior

Pet behavior problems, such as separation anxiety, inappropriate urination and obsessive-compulsive licking, can strain the bond between humans and their pets. Misunderstanding the cause often results in frustrated pet owners. Before diagnosing the problem as behavioral, physical causes must be ruled out. For true behavior problems, we offer treatment options through behavior modification and pharmaceutical interventions.

 

Surgical Medicine

Anna doing a routine dental cleaning

Anna doing a routine dental cleaning

Surgical procedures can be performed in the mobile hospital . Examples are: spaying, neutering, mass removals, dental cleanings, abscess treatments, trauma, cesarean sections, and laceration repairs. Postoperative pain medication is provided and required for all surgeries. We take pride in our fur babies not feeling any pain, discomfort, and stress from a foreign environment..

 

Geriatric Medicine and Hospice Care

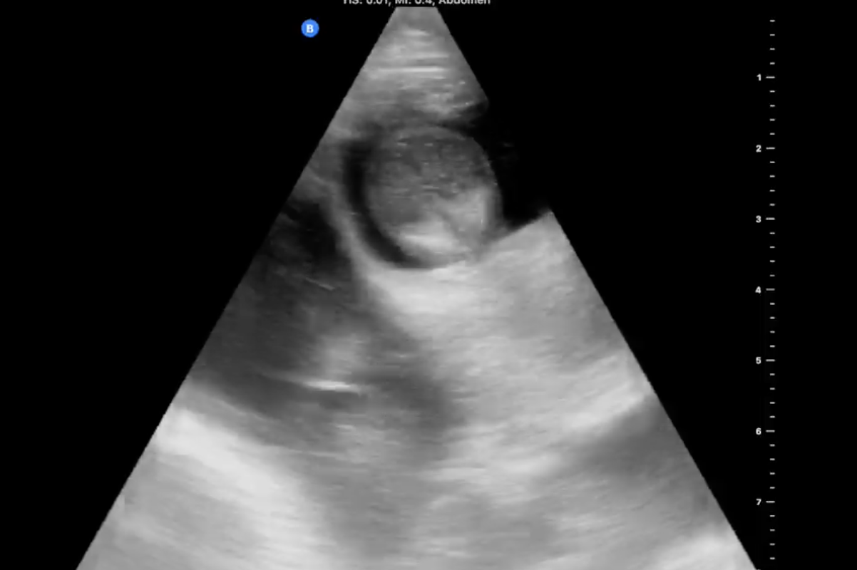
I spy a little puppy in there

I spy a little puppy in there

One of the main goals of this practice is to improve the quality of life for older pet. They are the ones who benefit most from a home visit because it is less stressful on them. Laboratory test monitoring for most common diseases are important for our older animals since they tend to instinctively mask disease and pain as part of the survival mechanism in the wild. Unfortunately, problems are sometimes not be detected until their later stages. Oftentimes diagnostics performed by a veterinarian in home to monitor your pet's condition are more accurate, and treatment regimens can be more successful without the stress of going back and forth to the veterinary hospital. The quality of life of animals with chronic illness can be improved with fluid support, pain control, nutritional support and holistic therapies such as acupuncture.

 

In Home Euthanasia

Euthanasia is the last gift of love that you can give to your ailing pets at the end of their lives to help them have a peaceful passing. A loving in-home euthanasia is a gentle and compassionate way to say goodbye to your beloved furry companion. We provide a gentle, caring environment for your pet with sedation that leads to a comfortable sleep before the final drug is administered. Lastly, general care of remains and private cremation services are available.

 

Emergencies

Please be aware that Clay Oaks Veterinary is not an emergency service and we are not always able to accommodate requests for same-day appointments. If you have a medical emergency, please contact your local veterinary emergency service. For ingestion of poisonous substance, call veterinary emergency hospital or Pet Poison Helpline at 855-764-7661 Their website is www.petpoisonhelpline.com

 

For emergencies in Marion County:

 

The University of Florida Pet Emergency Treatment Service:

Phone: (352) 512-0886

Address: 3200 SW 27th Avenue Ocala, Florida, 34474

 

These are a few examples of emergencies that require immediate attention: 

  • Difficulty breathing

  • Collapse

  • Seizures

  • Pale mucous membranes

  • Bleeding profusely

  • Suspected poisoning

  • Severe vomiting or bloody diarrhea

  • Snake bite

  • Hives that cause swelling of the eyes and face

  • Severe painful lameness

  • Inability to walk